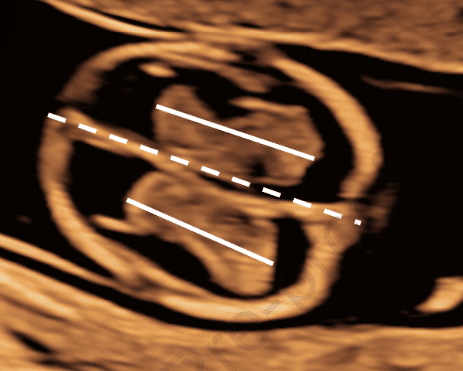
A Utilização da Relação Espessura Prenasal/Comprimento do Osso Nasal para Detecção de Trissomia 21
A Tournemire, M Groussolles, V Ehlinger, A Lusque, M Morin, J B Benevent, C Arnaud, C Vayssière > Eur J Obstet Gynecol Reprod
5min











