(41) 3087 7500
Rua Goiás, 70 — Curitiba

Nossos Exames

Exames de medicina fetal e ultrassonografia obstétrica realizados na Fetalmed

Conheça todos os exames de medicina fetal e ultrassonografia que realizamos na Fetalmed.

Amniocentese
Amniocentese guiada por ultrassom para diagnóstico pré-natal de alterações cromossômicas. Procedimento seguro na Fetalmed Curitiba.
Biopsia de vilo corial guiada por ultrassom - exame pre-natal para diagnostico genetico fetal na Fetalmed Curitiba
Biópsia de Vilo Corial
Biópsia de vilo corial para diagnóstico genético precoce no primeiro trimestre. Resultado mais rápido que…
Cardiotocografia anteparto com tracado de frequencia cardiaca fetal e aceleracoes - monitoramento fetal na Fetalmed Curitiba
Cardiotocografia Anteparto
Cardiotocografia para monitoramento dos batimentos cardíacos fetais e contrações uterinas. Avaliação do bem-estar fetal em…
Ultrassom transvaginal para controle de ovulacao mostrando foliculos ovarianos - monitoramento de fertilidade na Fetalmed Curitiba
Controle de Ovulação
Controle de ovulação por ultrassonografia transvaginal seriada. Monitoramento folicular para planejamento de gravidez em Curitiba.
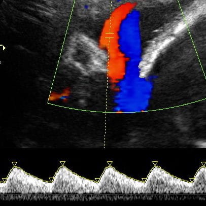
Dopplerfluxometria Obstétrica
Dopplerfluxometria obstétrica para avaliação do fluxo sanguíneo fetal e placentário. Monitoramento da vitalidade fetal em…
Ecocardiografia Fetal
Ecocardiografia fetal com Doppler colorido para avaliação detalhada do coração do bebê. Diagnóstico de cardiopatias…
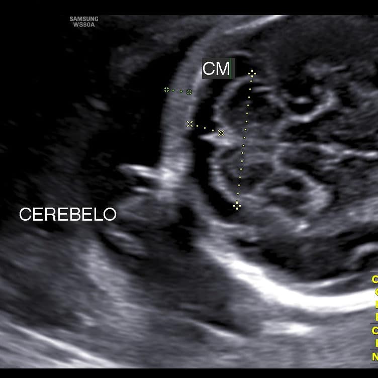
Morfológico de 1º Trimestre
Ultrassom morfológico de primeiro trimestre com medida da translucência nucal, rastreio de Síndrome de Down…
Morfológico de 2º Trimestre
Ultrassom morfológico de segundo trimestre para avaliação completa da anatomia fetal entre 20 e 24…
Perfil Biofísico Fetal
Perfil biofísico fetal para avaliação do bem-estar do bebê. Avalia movimentos, tônus, respiração e líquido…
Pesquisa de Endometriose
Pesquisa de endometriose por ultrassonografia transvaginal especializada. Mapeamento completo dos focos de endometriose em Curitiba.
Ultrassonografia 3D pelvica com reconstrucao tridimensional do utero - exame ginecologico avancado na Fetalmed Curitiba
Ultrassonografia 3D Pélvica
Ultrassonografia 3D pélvica para avaliação detalhada do útero e ovários. Diagnóstico de malformações uterinas e…
Ultrassonografia das mamas - exame mamario por ultrassom para rastreamento e diagnostico na Fetalmed Curitiba
Ultrassonografia das Mamas
Ultrassonografia das mamas para rastreamento e diagnóstico de nódulos mamários. Complemento à mamografia em Curitiba.
Ultrassonografia em 3D/4D
Ultrassonografia 3D e 4D para visualização tridimensional do bebê em tempo real. Imagens do rosto…
Ultrassonografia obstetrica com avaliacao de estruturas fetais - acompanhamento pre-natal por ultrassom na Fetalmed Curitiba
Ultrassonografia Obstétrica
Ultrassonografia obstétrica para acompanhamento do crescimento e bem-estar fetal durante toda a gestação. Fetalmed Curitiba.
Ultrassonografia transvaginal pelvica - exame ginecologico por ultrassom para avaliacao uterina e ovariana na Fetalmed Curitiba
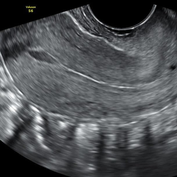
Ultrassonografia Transvaginal
Ultrassonografia transvaginal para avaliação do útero, ovários e estruturas pélvicas com alta definição. Diagnóstico ginecológico…
Ultrassonografia transvaginal de primeiro trimestre com visualizacao do saco gestacional - exame pre-natal inicial na Fetalmed Curitiba
Ultrassonografia Transvaginal de 1º Trimestre
Ultrassonografia transvaginal de primeiro trimestre para confirmação da gestação, vitalidade embrionária e datação precisa em…