Navegação por tópicos
Publicidade
O Descolamento Prematuro de Placenta (DPP) é classicamente definido como a separação abrupta e inopinada da placenta normalmente inserida antes do parto. É uma das causas de sangramento vaginal na segunda metade da gravidez.
Por sorte é um evento raro pois acontece em apenas 0,5 a 1% das gestações. Infelizmente é uma das principais causas de morbidade materna e de mortalidade perinatal. Os principais riscos incluem sangramentos abundantes, necessidade de transfusões sanguíneas, histerectomia de emergência, coagulação vascular disseminada e falência renal.

Imagem comparando a placenta normalmente inserida (esquerda) e um descolamento prematuro de placenta com hematoma retroplacentário (direita).
O principal diagnóstico diferencial do Descolamento Prematuro de Placenta é a Placenta Prévia. As principais complicações para o concepto são o óbito, a prematuridade, a asfixia perinatal. Apesar de diversos fatores de risco conhecidos, a etiologia do DPP ainda não é bem compreendida.
Existem também situações aonde o saco gestacional se descola da parede uterina. Esta é uma situação bem distinta, que ocorre nos primeiros meses de gravidez e é chamado descolamento do saco gestacional. Muitas vezes erroneamente algumas pessoas se referem ao descolamento do saco gestacional como descolamento da placenta. Entretanto são coisas bem distintas e com prognóstico bastante diferente.
Qual a causa do Descolamento Prematuro de Placenta?
A principal causa do descolamento prematuro de placenta é a ruptura de vasos maternos na decídua basal. Decídua é o nome dado a camada mais interna do útero durante a gestação. O sangue eliminado pelos vasos maternos se acumula formando um hematoma que separa a placenta da decídua.
Essa separação da placenta faz com que as trocas entre a mãe e o feto sejam interrompidas. Portanto o pedaço da placenta que descola da decídua não é mais funcional e não leva mais oxigênio e nutrientes para o bebê. Isso se torna um problema pois durante a gestação a placenta é responsável por levar oxigênio para o feto. A separação da placenta da decídua antes do nascimento pode ser letal para o concepto.
O sangramento da decídua pode se exteriorizar pelo colo uterino. Neste caso a paciente irá perceber um sangramento vaginal que é um dos sintomas mais comuns. Eventualmente o hematoma pode ficar confinado a região retro-placentária e neste caso não ocorre sangramento vaginal.

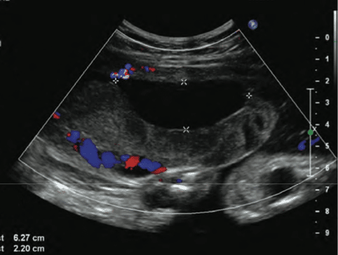
Ultrassom mostrando área anecóica (escura) atrás da placenta, compatível com um hematoma em função do descolamento prematuro de placenta.
Quais são os sintomas do Descolamento Prematuro de Placenta?
No DPP o principal sintoma é o sangramento vaginal. Entretanto, em alguns casos o hematoma pode ficar confinado atrás da placenta e nestes casos o descolamento não provoca sangramento vaginal.
Além do sangramento vaginal, que ocorre de maneira abrupta e sem dar aviso prévio, é comum a dor em função do aumento do tônus uterino. O útero fica endurecido, quase que como uma pedra em função de uma forte e duradoura contração.
Como o sangramento geralmente é bastante volumoso podemos ver sinais de choque materno ou eventualmente o óbito fetal em função da separação da placenta.
Nos casos de sangramento na segunda metade da gestação é sempre importante fazer o diagnóstico diferencial com a placenta prévia, que é outra causa de hemorragia vaginal em gestantes.
Quais são os fatores de risco para um DPP?
O principal fator de risco é a hipertensão arterial. A maioria das pacientes que fazer um quadro de descolamento prematuro de placenta são hipertensas prévias ou possuem um quadro de pré-eclâmpsia.
O trauma direto sobre o útero também é um fator de risco importante para o acontecimento do descolamento da placenta. Nesse sentido é importante investigar quadros de violência doméstica, quedas ou acidentes de carro.
O uso de algumas drogas como a cocaína, crack e a metanfetamina também podem provocar quadros de descolamento prematuro de placenta.
Como é classificado o Descolamento Prematuro de Placenta?
O DPP é classificado em três graus, levando-se em conta os achados clínicos e laboratoriais, de acordo com classificação de Sher no quadro abaixo:
| Grau | Características |
|---|---|
| I | Assintomático ou apresenta sangramento genital discreto sem hipertonia uterina significativa, com vitalidade fetal preservada. Sem repercussões hemodinâmicas e coagulopatias materna. O diagnóstico é realizado após o nascimento por presença de coágulo retroplacentário. |
| II | Sangramento genital moderado com hipertonia uterina. Repercussões hemodinâmicas na mãe com aumento de frequência cardíaca, alterações posturais da pressão arterial e queda do nível de fibrinogênio. Feto vivo, porém com vitalidade fetal prejudicada. |
| III | Caracteriza-se por óbito fetal. Hipotensão arterial materna e hipertonia uterina importante. Divide-se em: IIIA Sem coagulopatia instalada; IIIB Com coagulopatia instalada. |
Qual a diferença entre Descolamento Prematuro de Placenta e Placenta Prévia?
As principais características que diferenciam o DPP da PP são:
| Característica | Placenta Prévia | Descolamento Prematuro de Placenta |
|---|---|---|
| Inserção da Placenta | Em local anômalo (prévia) | Normalmente inserida |
| Sangramento Vaginal | Incidioso, ocorre várias vezes durante a segunda metade da gravidez e geralmente em pequena quantidade | Abrupto, ocorre de uma hora pra outra, geralmente em grande volume entretanto pode ser oculto |
| Dor | Indolor | Bastante doloroso |
| Tônus uterino | Normal | Bastante Aumentado |
| Vitalidade Fetal | Normal | Geralmente comprometida |
| Coagulopatia | Ausente | Presente |
Qual é o tratamento para o Descolamento Prematuro de Placenta?
Na maioria das vezes, quando o feto estiver vivo será o parto pela via mais rápida e segura. Além disso a reposição de volume e sangue para a gestante é extremamente importante. Abaixo temos o fluxograma do Ministério da Saúde que detalha o tratamento conforme o grau do DPP.

Fluxograma para Tratamento do Descolamento Prematuro de Placenta
Publicidade

