Telefone Fetalmed (41) 3087 7500 Endereço Fetalmed Rua Goiás, 70

Busca:

Colo Uterino Curto

O que é a medida…

Nos últimos anos a medida do colo uterino vem progressivamente ganhando espaço nos exames de pré-natal. Ela deve ser realizada na época do exame morfológico…

Esquema Nidação

O que é a nidação?

A nidação ou implantação é o momento em que o óvulo fecundado (agora chamado de zigoto) penetra completamente no revestimento interno do útero. Isto costuma…

O que é a pré-eclâmpsia…

A palavra "eclâmpsia" é derivada do grego eklampsis que significa brilho ou explosão. Eclâmpsia é a presença de convulsões na gravidez induzidas por hipertensão arterial. A…

O que é a Progesterona?

Progesterona é um hormônio feminino produzido pelo corpo lúteo e pela placenta. Ela tem um papel importante na regulação do ciclo menstrual e na manutenção…

Amniocentese

O que é amniocentese?

A amniocentese é um procedimento médico realizado para obter uma amostra do líquido amniótico (o líquido da bolsa que banha o feto). O médico realiza…

O que é ciclo anovulatório?

O ciclo menstrual normal é caracterizado pela liberação de um folículo ovariano que quando fertilizado resulta em gravidez. Em algumas mulheres o ciclo menstrual pode…

Videolaparoscopia

O que é Cirurgia Laparoscópica?

O advento da laparoscopia foi um grande marco que revolucionou a cirurgia moderna. Desde a descrição da primeira colecistectomia laparoscópica em 1987, por Phillipe Mouret…

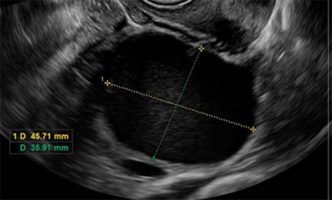
Cisto de Ovário

O que é cisto de…

Os cistos ovarianos são formações saculares preenchidas por líquido ou substância semi-sólida que se desenvolvem nos ovários das mulheres. Os cistos ovarianos afetam mulheres de…

O que é diabetes gestacional?

Diabetes gestacional é aquela que é diagnosticada pela primeira vez durante a gravidez. Conheça os fatores e cuidados para prevenção.

Dispneia na Gravidez

O que é Dispneia na…

A gravidez é um período de imensas transformações na vida de uma mulher. Além das mudanças visíveis como o crescimento da barriga e alterações hormonais,…

O que é endometriose?

O útero de toda mulher é revestido, internamente, por uma camada de tecido chamado endométrio, local onde o óvulo, quando fecundado, implanta-se para iniciar a…

O que é hCG?

HCG (Human Chorionic Gonadotropin) refere-se ao hormônio gonadotrofina coriônica humana. Este hormônio é amplamente utilizado como um teste de gravidez. Ele é produzido por um…

Disponível para: