Telefone Fetalmed (41) 3087 7500 Endereço Fetalmed Rua Goiás, 70

Busca:

Bebe com marcas de batom

É perigoso beijar recém-nascido?

Recentemente um post no Facebook de uma mãe alerta sobre os riscos de beijar recém-nascido. Pode parecer totalmente inocente mas o contato com o recém-nascido,…

É possível engravidar com azoospermia?

Azoospermia é uma causa comum de infertilidade masculina, enquanto que nas mulheres uma das principais causas é a endometriose. Por definição a azoospermia é a…

Dúvida Fertilidade

É possível engravidar fora do…

Essa é uma dúvida comum das mulheres, será que é possível engravidar fora do período fértil? Bom, de uma maneira bastante simples, a resposta é…

Parto Normal de Gêmeos

É possível ter parto normal…

Muitas mães se perguntam se é possível ter parto normal de gêmeos, afinal, pode ser que a prática seja perigosa. No entanto, veremos em nosso artigo…

Eanes

Significa filho de João e indica uma pessoa perfeccionista, que se entrega às suas tarefas com dedicação absoluta. Considera toda atividade um desafio e uma…

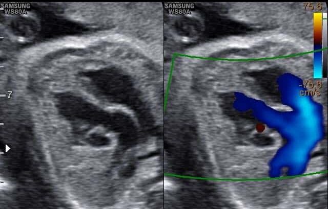
Ecocardio Fetal Descomplicado

Ecocardiografia fetal

Edgar

Significa lanceiro guardião dos bens e indica uma pessoa que não suporte se acomodar. Está sempre ampliando seus horizontes. Além disso, carrega uma boa dose…

Edinéia

O nome Edineia apresenta origens e significados variados, refletindo uma rica tapeçaria cultural. Uma das interpretações sugere que Edineia é uma variante feminina de Ednei,…

Edmar

Significa rico famoso e indica uma pessoa apaixonada pela vida e que a desfruta com grande sabedoria. Independente e ativo, não é do tipo que…

Edmilson

Edimilson

Edmundo

Significa o guardião dos bens. Generoso e amigável, é o tipo de pessoa que só se sente bem quando todos à sua volta estão felizes.…

Disponível para: