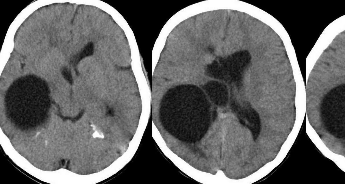
Porencefalia - Vídeo de Ultrassom
Médicos, Sistema Nervoso Central, Vídeos
16/09/2014
9445 Views
<span data-mce-type="bookmark" style="display: inline-block; width: 0px; overflow: hidden; line-height: 0;" class="mce_SELRES_start"></span><span data-mce-type="bookmark" style="display: inline-block; width: 0px; overflow: hidden; line-height: 0;"…