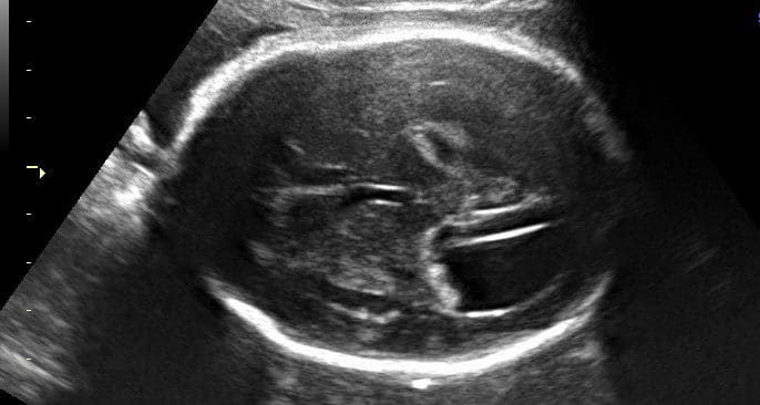
Agenesia de corpo caloso é uma má formação congênita que se caracteriza pela ausência (agenesia) do corpo caloso, com o…
Assine nosso informativo e receba as novidades primeiro!