(41) 3087 7500
Rua Goiás, 70 — Curitiba

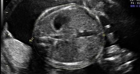
Tórax e Abdome

As medidas do tórax e abdome fetal permitem avaliar o crescimento visceral e identificar alterações como restrição de crescimento, macrossomia e malformações renais. A circunferência abdominal (CA) é um dos parâmetros mais utilizados na estimativa de peso fetal.


Circunferência Abdominal e Torácica
CA e CT · 12 a 40 semanas


Diâmetro Renal Fetal
Diâmetro longitudinal renal · 2.° e 3.° trimestres

Dr. Rafael Frederico Bruns — Médico especialista em Medicina Fetal, Curitiba
Dr. Rafael Frederico Bruns
Médico CRM-PR 18.582
Medicina Fetal RQE 238

Conteúdo revisado por um médico especialista em medicina fetal. As informações têm caráter educacional e não substituem a consulta médica.