Amável.
Que traz mensagens. No antigo testamento foi célebre profeta.
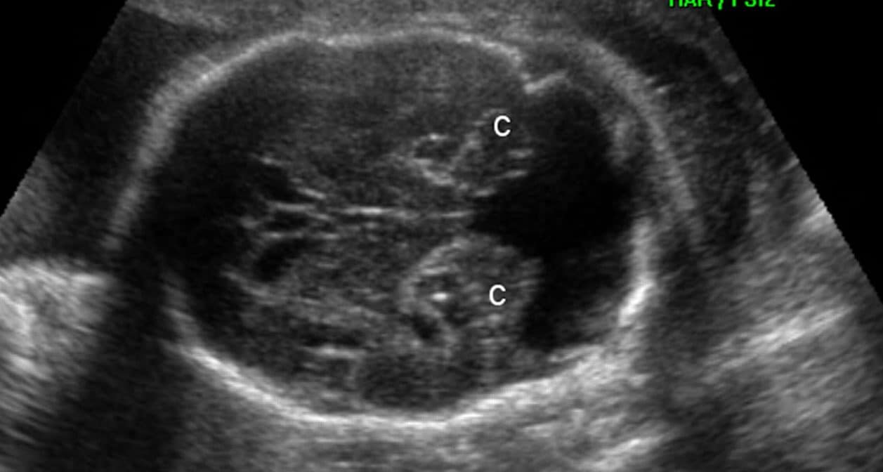
A malformação adenomatóide cística de pulmão (MAC) resulta do desenvolvimento anômalo dos bronquíolos terminais e respiratórios, com proliferação adenomatóide e formação de cistos. Atualmente, a…
A malformação de Dandy-Walker é uma malformação cerebral caracterizada por hipoplasia ou agenesia do vérmis cerebelar e dilatação do quarto ventrículo, com formação cística na…
Doce princesa.
Perfumada como Flor.
Chefe cortês, gosta de disputar. Idealista e determinada, nada a faz desistir quando se propõe a conseguir algo. O espírito empreendedor com que conduz seus…
Esquecimento.
Quando se trata de cuidar da saúde do seu pequeno, cada nova descoberta pode causar preocupação. Uma das dúvidas mais comuns e preocupantes que surgem…
Apelido carinhoso para Amanda.
Deus está conosco.
Pura, santa.
Assine nosso informativo e receba as novidades primeiro!