(41) 3087 7500
Rua Goiás, 70 — Curitiba

Resultados para "Y"

1018 resultado(s) encontrado(s)

Dúvidas

Fiz um Raio X Grávida, e Agora?

Uma situação muito comum no dia a dia é encontrar pacientes que inadvertidamente foram expostas a raios X…

Dúvidas

O que é amniocentese?

A amniocentese é um procedimento médico realizado para obter uma amostra do líquido amniótico (o líquido da bolsa…

Protocolos médicos

Recomendação da American Diabetes Association (ADA) para o Diagnóstico e Classificação da Hiperglicemia na Gravidez 2010

Protocolo O Gurpo de Estudo da Associação Internacional de Diabetes e Gestação (International Association of Diabetes and Pregnancy…

Aulas

Como Pesquisar no Pubmed

O Pubmed é uma das ferramentas mais utilizadas para pesquisas de artigos médicos. Leia inicialmente o texto abaixo…

Protocolos médicos

Protocolo Mãe Curitibana 2005

Edição 2005 dos protocolos do programa Mãe Curitibana Veja também a versão 2018 do programa. O Programa Mãe…

Protocolos médicos

Protocolo Mãe Curitibana 2002

Edição 2002 dos protocolos do programa Mãe Curitibana Veja também a versão 2018 do programa. O Programa Mãe…

Vídeos

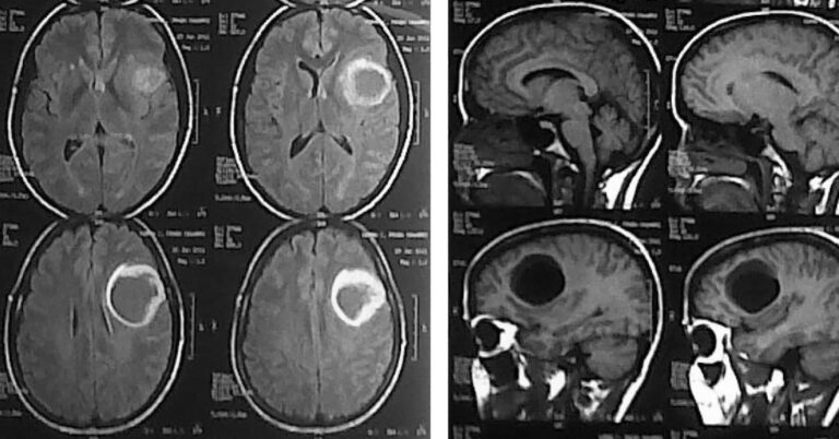
Tumor Cerebral

Vídeo com imagens de tumor cerebral fetal. O vídeo acima está publicado no YouTube e aqui você vê…

Vídeos

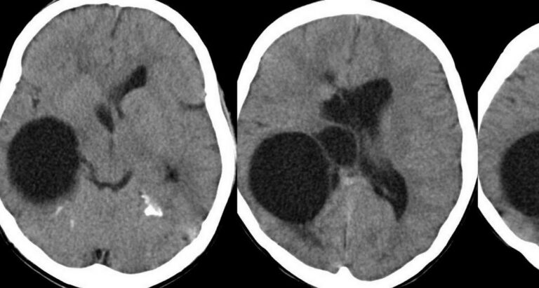
Porencefalia – Vídeo de Ultrassom

<span data-mce-type=”bookmark” style=”display: inline-block; width: 0px; overflow: hidden; line-height: 0;” class=”mce_SELRES_start”></span><span data-mce-type=”bookmark” style=”display: inline-block; width: 0px; overflow: hidden;…

Vídeos

Sinal da Banana e do Limão

A Mielomeningocele, mais conhecida como Spina Bífida, é uma malformação congênita caracterizada por um defeito de fechamento da…

Vídeos

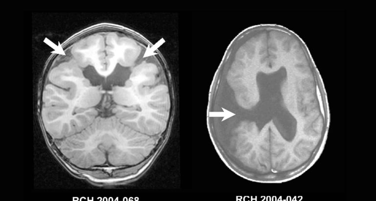
Esquizencefalia

 Vídeo cortesia do Dr. Jader Cruz – The Fetal Medicine Foundation Esquizencefalia A esquizencefalia é uma malformação…