(41) 3087 7500
Rua Goiás, 70 — Curitiba

Resultados para "Y"

1018 resultado(s) encontrado(s)

Dúvidas

Mielomeningocele (espinha bífida)

A mielomeningocele é um tipo de espinha bífida. Espinha bífida é um defeito congênito que ocorre quando os…

Artigos

Sildenafil não deve ser prescrito para RCIU

O Sildenafil (Viagra) foi considerado como um candidato para tratamento da restrição de crescimento intra-uterino. Uma vez que…

Dúvidas

Quais são os tipos de Gestações Gemelares?

Todos sabem que os gêmeos podem ser idênticos ou não. Os gêmeos idênticos são chamados de monozigóticos, conheça…

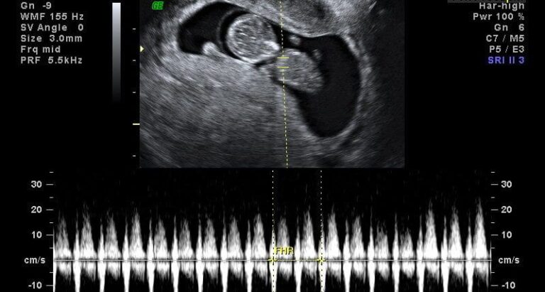
Dúvidas

Qual é a frequência cardíaca normal do feto?

Esta é uma pergunta que você provavelmente tem desde a primeira vez que você ouviu bater o seu…

Dúvidas

Com que idade gestacional é possível ver o sexo do bebê no ultrassom?

Informações de quando é a hora para fazer está descoberta, dos cuidados e exames que serão realizados.

Dúvidas

O que é ultrassonografia morfológica?

Ultrassonografia Obstétrica e Ultrassonografia Morfológica Fetal: Qual é a diferença? Uma grande dúvida das gestantes é a diferença…

Dúvidas

O que é ultrassom 3D ou 4D?

O método de ultra-sonografia 3D (três dimensões) é uma inovação do método 2D, transforma as imagens convencionais em…

Dúvidas

Síndrome da Transfusão Feto-Fetal

Síndrome da Transfusão Feto-Fetal é uma complicação que pode ocorrer nas gestações de gêmeos quando os dois fetos…

Dúvidas

O que significa BI-RADS®?

BI-RADS® é um acrônimo para Breast Imaging-Reporting and Data System®, uma classificação desenvolvida inicialmente para ser utilizada com…

Dúvidas

Dificuldades para Engravidar

Por definição, considera-se infértil o casal quando, após cerca de um ano tendo relações freqüentes e desprotegidas, não…