Vídeo cortesia do Dr. Jader Cruz – The Fetal Medicine Foundation
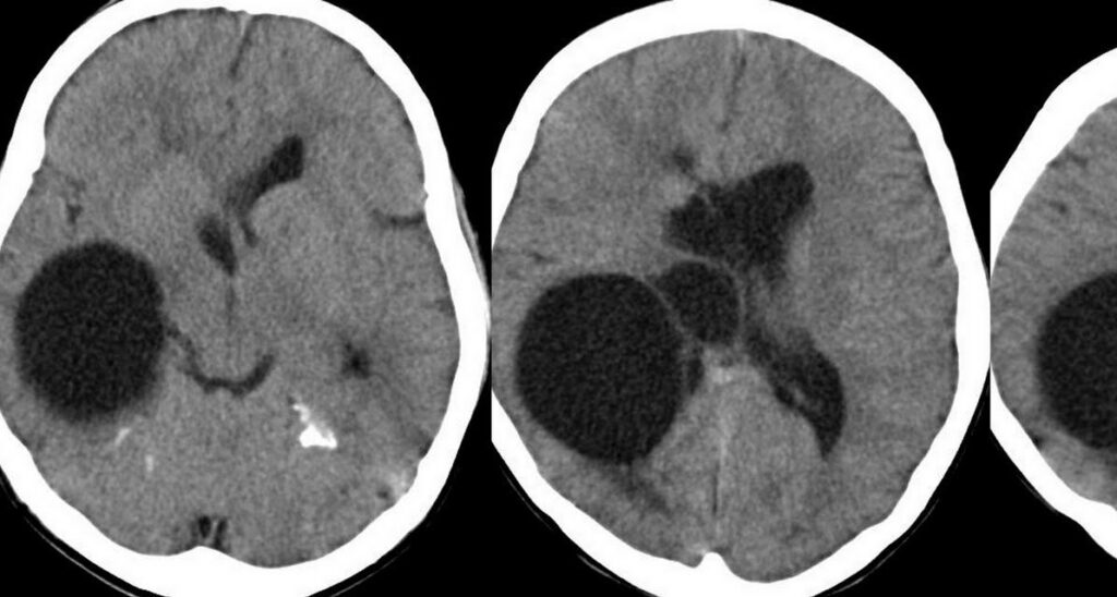
Porencefalia
Porencefalia é uma doença extremamente rara que acomete o sistema nervoso central. Surgem cistos e cavidades em um hemisfério cerebral podendo acontecer antes ou depois do nascimento.
Os cistos são em geral resultado de destruição tecidual por infecção ou doença vascular.
A porencefalia é uma clara evidência de que existe lesão cerebral e, geralmente, associa-se a anomalias na função cerebral. No entanto, algumas crianças têm uma inteligência normal.

Porencefalia