Navegação por tópicos
Publicidade
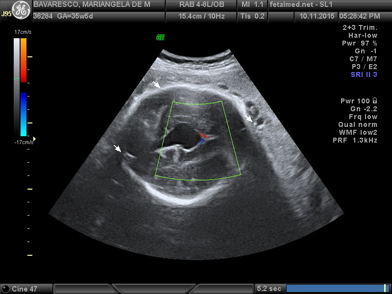
Vídeo cortesia do Dr. Jader Cruz – The Fetal Medicine Foundation
Cisto de Aracnóide
Os cistos aracnoides são lesões congênitas da membrana aracnoide que se expandem com as secreções do fluido cérebro-espinhal. Corresponde a aproximadamente a 1% de todas as lesões intracraniais dos adultos e a aproximadamente 3% nas crianças. Embora 60-90% dos casos relatados fossem encontrados em pessoas jovens, é possível encontrá-los em pessoas mais velhas.
É um saco de líquido na membrana aracnóide que cobre o cérebro e a medula espinal. Há três membranas que cobrem as partes do Sistema Nervoso Central (SNC): a dura-máter, a aracnoide e a pia-máter. Os cistos aracnoides aparecem na membrana aracnoide (espaço subaracnoide). Os lugares mais comuns dos cistos aracnoides intracraniais são na fossa média (perto do lobo temporal), na região supracellar (perto do terceiro ventrículo) e na fossa posterior, onde tem o cerebelo, o ponte, e a medula oblonga.
Ocorre mais em homens, na relação de 3:1. É mais comum no lado esquerdo das estruturas do sistema nervoso central.
Desenho de um cisto de aracnóide.
Diagnósticos Diferenciais
Tratamento
Se o cisto aracnóide não causar sintomas, não é necessário tratamento. No entanto, deve ser monitorado periodicamente. Primordialmente para ver se aumenta de tamanho ou se há alguma alteração na morfologia.
Caso o cisto provoque sintomas, deve ser avaliado para perceber se é necessário realizar uma cirurgia, que é normalmente segura e produz bons resultados. Existem 3 tipos de cirurgias:
- Sistema de drenagem permanente, que consiste na colocação de um dispositivo permanente que drena o fluído do cisto para o abdômen. Portanto reduz a pressão no cérebro, sendo esse fluído reabsorvido pelo organismo;
- Fenestração, que consiste em realizar um corte no crânio para aceder ao cisto, e em que são feitas incisões no cisto para que o líquido seja drenado e absorvido pelos tecidos circundantes, reduzindo assim a pressão que ele exerce no cérebro. Embora seja mais invasivo que o sistema anterior, é mais eficaz e definitivo.
- Fenestração endoscópica, que consiste numa técnica avançada que tem os mesmos benefícios que a fenestração. Entretanto é menos invasiva porque não é necessário abrir o crânio, sendo um procedimento rápido. Neste procedimento é usado um endoscópio, que é um tipo de tubo com uma câmera na ponta, que drena o líquido do cisto para o cérebro.
Publicidade


