O diagnóstico pré-natal desempenha um papel fundamental na detecção de anomalias vasculares raras, como a Veia Umbilical Direita Persistente (VUDP). Este artigo tem como objetivo fornecer informações relevantes aos médicos que realizam acompanhamento pré-natal e ultrassom para diagnóstico, sobre a incidência e a importância clínica da VUDP.

Em um estudo realizado na Turquia, envolvendo 10.743 gestantes, 0,11% apresentaram VUDP. Todas as gestantes diagnosticadas tinham o tipo intra-hepático da anomalia, sendo que o ducto venoso estava presente em todos os casos. A maioria das gestantes tinha VUDP isolada, mas também foram observados casos com anomalias concomitantes, sendo as alterações cardiovasculares as mais comuns.

Importância Clínica e Resultados Fetais da Veia Umbilical Direita Persistente

Em geral, o prognóstico para os casos de VUDP isolada é bom. No entanto, é importante ressaltar que a presença de anomalias concomitantes, especialmente doenças cardíacas congênitas, pode levar a desfechos neonatais adversos. Estudos anteriores também relatam maior risco de doenças cardíacas congênitas na presença de VUDP e artéria umbilical única (AUU). Portanto, é essencial o diagnóstico pré-natal e avaliação especializada, como a ecocardiografia fetal, para a detecção precoce de anomalias associadas e a prestação do cuidado adequado a gestações afetadas.

Achados Ultrassonográficos

O diagnóstico pré-natal da VUDP é relativamente fácil por meio de exames ultrassonográficos. Os critérios de diagnóstico incluem o curso anormal da veia porta em direção ao estômago e a localização da veia umbilical no lado direito médio da vesícula biliar. A visualização desses achados ultrassonográficos permite o diagnóstico da VUDP.

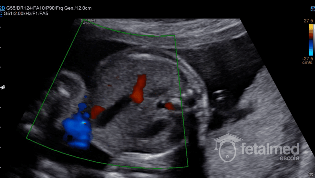
Veia Umbilical Direita Persistente

O diagnóstico da Veia Umbilical Direita Persistente pode ser feito pela posição da veia umbilical e da vesícula biliar. Em casos alterados a veia umbilical fica mais à direita da vesícula biliar. Ainda é possível notar que a curva da veia umbilical é para a esquerda, e não para a direita como em casos normais.

Na literatura, a realização de testes invasivos durante a gestação é sugerida em casos acompanhados por indicações obstétricas, como a presença de anomalias associadas. Portanto, é importante considerar as indicações clínicas para a realização desses testes.

O diagnóstico pré-natal e a avaliação da VUDP são de suma importância para entender sua relevância clínica e fornecer o cuidado adequado às gestações afetadas. É essencial realizar um acompanhamento detalhado e especializado, incluindo exames ultrassonográficos completos e, quando necessário, outras avaliações, como a ecocardiografia fetal. A maioria dos casos de VUDP isolada possui um bom prognóstico, mas a presença de anomalias associadas, especialmente doenças cardíacas congênitas, requer atenção especializada e cuidados adicionais. Portanto, é fundamental que médicos que realizam pré-natal e ultrassom para diagnóstico estejam cientes da existência e importância clínica da VUDP e de suas possíveis associações.

Referência

  1. Gulsah Dagdeviren, Ayse Keles , Ozge Yu€ cel Celik, Aykan Yucel and Dilek Sahin. Departamento de Perinatologia, Etlik Zubeyde Hanim Women’s Health Care, Training and Research Hospital, University of Health Sciences, Ankara, Turquia.