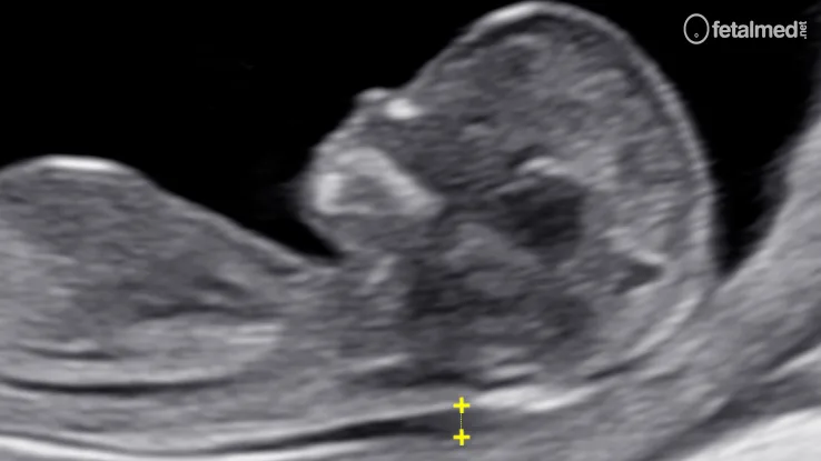
A translucência nucal (TN) é uma coleção de líquido na região da nuca do feto, visível ao ultrassom entre 11 e 14 semanas de gestação. Sua medida é um dos marcadores mais importantes no rastreamento de cromossomopatias, especialmente a síndrome de Down (trissomia do 21).
A tabela abaixo apresenta os valores de referência para a medida da translucência nucal de acordo com o comprimento cabeça-nádegas (CCN), baseada no estudo de Faria (2004). Os valores são expressos nos percentis 5, 50 e 95.
Como interpretar esta tabela
A medida da TN deve ser avaliada em relação ao CCN do feto. Um valor acima do percentil 95 é considerado aumentado e indica necessidade de avaliação complementar, incluindo ecocardiografia fetal e eventualmente procedimento invasivo para cariótipo. Entretanto, é importante ressaltar que uma TN aumentada não significa necessariamente anormalidade cromossômica — a maioria dos fetos com TN aumentada são normais.
Tabela de TN × CCN
| CCN (mm) | P5 (mm) | P50 (mm) | P95 (mm) |
|---|---|---|---|
| 45 | 0,7 | 1,3 | 2,0 |
| 46 | 0,7 | 1,3 | 2,0 |
| 47 | 0,7 | 1,3 | 2,0 |
| 48 | 0,7 | 1,4 | 2,0 |
| 49 | 0,8 | 1,4 | 2,0 |
| 50 | 0,8 | 1,5 | 2,1 |
| 51 | 0,8 | 1,5 | 2,1 |
| 52 | 0,9 | 1,5 | 2,2 |
| 53 | 0,9 | 1,6 | 2,2 |
| 54 | 0,9 | 1,6 | 2,2 |
| 55 | 0,9 | 1,6 | 2,3 |
| 56 | 1,0 | 1,7 | 2,3 |
| 57 | 1,0 | 1,7 | 2,3 |
| 58 | 1,0 | 1,7 | 2,3 |
| 59 | 1,1 | 1,7 | 2,4 |
| 60 | 1,1 | 1,7 | 2,4 |
| 61 | 1,1 | 1,8 | 2,4 |
| 62 | 1,2 | 1,8 | 2,5 |
| 63 | 1,2 | 1,8 | 2,5 |
| 64 | 1,2 | 1,9 | 2,5 |
| 65 | 1,2 | 1,9 | 2,5 |
| 66 | 1,3 | 1,9 | 2,6 |
| 67 | 1,3 | 1,9 | 2,6 |
| 68 | 1,3 | 2,0 | 2,6 |
| 69 | 1,4 | 2,0 | 2,7 |
| 70 | 1,4 | 2,0 | 2,7 |
| 71 | 1,4 | 2,1 | 2,7 |
| 72 | 1,4 | 2,1 | 2,7 |
| 73 | 1,5 | 2,1 | 2,8 |
| 74 | 1,5 | 2,1 | 2,8 |
| 75 | 1,5 | 2,1 | 2,8 |
| 76 | 1,6 | 2,2 | 2,9 |
| 77 | 1,6 | 2,2 | 2,9 |
| 78 | 1,6 | 2,3 | 2,9 |
| 79 | 1,6 | 2,3 | 2,9 |
| 80 | 1,7 | 2,4 | 3,0 |
| 81 | 1,7 | 2,4 | 3,0 |
| 82 | 1,7 | 2,4 | 3,0 |
| 83 | 1,8 | 2,4 | 3,1 |
| 84 | 1,8 | 2,4 | 3,1 |
Obs: para determinação de risco você pode usar a Calculadora de Risco de Síndrome de Down.
Para calcular a idade gestacional a partir do CCN, utilize nossa calculadora de idade gestacional.
