Telefone Fetalmed (41) 3087 7500 Endereço Fetalmed Rua Goiás, 70

Assunto: is_tag

biometria

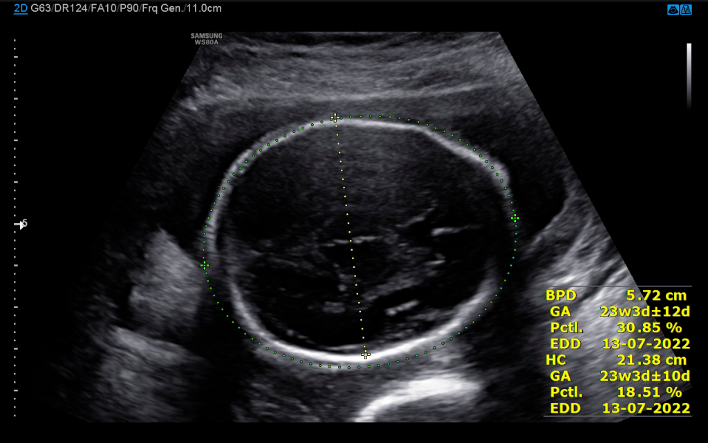
Idade gestacional pelo ultrassom é confiável?

Dúvidas, Gestantes
20/03/2022   1244 Views  

Quando uma mulher descobre que está grávida, uma das primeiras coisas que ela quer saber é de quanto tempo está…

Face Fetal Ultrassom 3D

Idade Gestacional em Meses

Dúvidas, Gestantes
18/10/2016   47976 Views  

A idade gestacional em meses é utilizada por algumas pessoas. Entretanto, sempre sugerimos à gestante que se habitue a contar…

Óvulo na trompa

2ª Semana de Gravidez

Gestantes, Gravidez Semana a Semana
01/09/2016   12746 Views  

Já estamos chegando perto do momento da concepção do bebê, mas até agora ele ainda não existe, portanto continuamos falando…

Espermatozóide Fecundando o Óvulo

3ª Semana de Gravidez

Gestantes, Gravidez Semana a Semana
30/08/2016   18073 Views  

Conheça a 3ª Semana de Gestação, a semana da concepção. Os espermatozóides encontram-se com o óvulo na trompa e o…

Embrião de 4 Semanas - Mórula

4ª Semana de Gravidez

Gestantes, Gravidez Semana a Semana
30/08/2016   23394 Views  

No final desta semana as células do zigoto se multiplicam enquanto ele caminha pela trompa, dando origem a uma minúscula…

Embrião de 6 Semanas - Nidação

06ª Semana

Gestantes, Gravidez Semana a Semana
28/08/2016   27166 Views  

O Bebê Os primeiros batimentos cardíacos do embrião já começaram. Ele mede cerca de 2,5 mm de comprimento no início…

Embrião de 8 semanas

08ª Semana

Gestantes, Gravidez Semana a Semana
25/08/2016   23001 Views  

O Bebê O embrião mede cerca de 12-13 mm de comprimento no início desta semana. A cabeça do bebê ainda…

Ultrassom 3D de Embrião de 9 semanas

09ª Semana

Gestantes, Gravidez Semana a Semana
24/08/2016   20816 Views  

O Bebê No início desta semana o bebê mede cerca de 19 mm. As primeiras ondas cerebrais são detectadas. A…

Embrião de 10 semanas

10ª Semana

Gestantes, Gravidez Semana a Semana
23/08/2016   22326 Views  

O Bebê Nesta semana, embora seu bebê ainda pareça um peixinho de aproximadamente 28 a 35 mm de comprimento e…

Pernas de um feto de 11 semanas

11ª Semana

Gestantes, Gravidez Semana a Semana
22/08/2016   24226 Views  

O Bebê A partir de agora o bebê é chamado de feto. A parte mais crítica do desenvolvimento já terminou.…

Translucência Nucal

12ª Semana

Gestantes, Gravidez Semana a Semana
21/08/2016   32460 Views  

O Bebê Nessa fase quase todos os órgãos e estruturas do feto estão formados. Eles continuarão a crescer e desenvolver…

Feto de 13 semanas

13ª Semana

Gestantes, Gravidez Semana a Semana
20/08/2016   19120 Views  

O Bebê Enquanto o bebê continua a crescer, começam a se formar as cordas vocais. A face parece cada dia…

Disponível para: